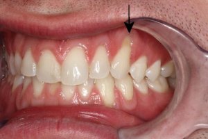
Gallery Home > Gingival Cosmetic Surgery > Gum Graft Case 4
“Dr. Rasmussen was wonderful. The end result is exactly what he told me it would be, exactly. I am thrilled!” Listen to more of Carolyn’s testimonial below.
“I’m glad I found Dr. Cavaretta because he did a wonderful job. I honestly am scared of going to the dentist or oral surgeons are even more frightening, and after I met him, he just put everything at ease.” Listen to more of Jamie’s testimonial below.
“Dr. Rasmussen is warm and friendly and makes you feel like family. When you walk in here, he greets you with a warm smile, he knows exactly who you are.” Listen to more of Patricia’s testimonial.
“I knew they would do an amazing job. I thought Dr. Rasmussen was very friendly and he was very nice. He explained everything thoroughly to me, so that was great.” Listen to more of Evelyn’s testimonial.
“Dr. Cavaretta is very warm, very attentive, he answered all my questions, made me feel very comfortable, and after that first meeting I knew he was the doctor that was going to fix my tooth.” Listen to more of Shalini’s testimonial.
